Gattico - Massino
Conser
vativa

Prenota una visita gratuita nella struttura più vicino a te

Conservativa

Gli interventi di odontoiatria conservativa si eseguono a partire già dai denti decidui; con la comparsa dei primi molari permanenti si possono eseguire le sigillature dei solchi con fluoro, per prevenire le lesioni cariose. La terapia conservativa sui denti permanenti viene eseguita con materiali compositi estetici.

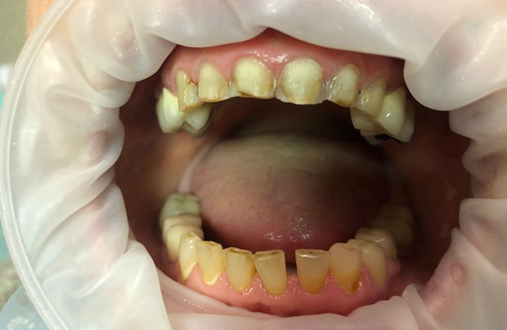
Presentazione di un caso

Esempio fotografico di un caso di terapia conservativa su un paziente adulto:

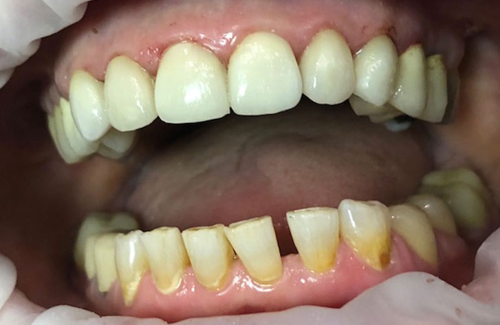
Step 1

Presentiamo un caso di riabilitazione del gruppo frontale superiore utilizzando delle faccette estetiche in ceramica.

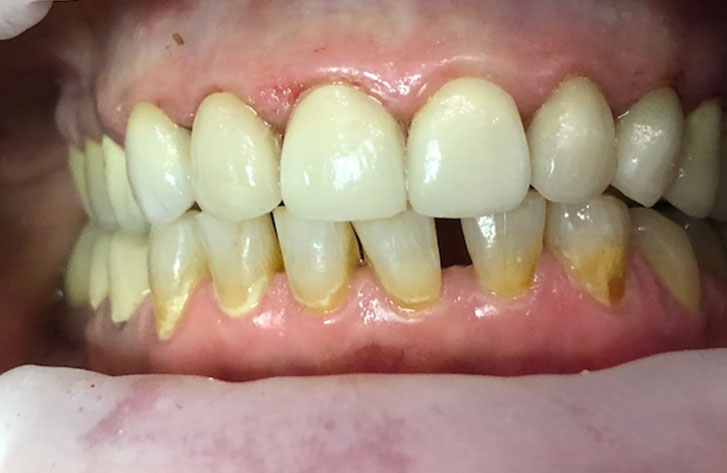
Step 2

Preparazione della bocca e dei denti attuali per la successiva posa delle faccette.

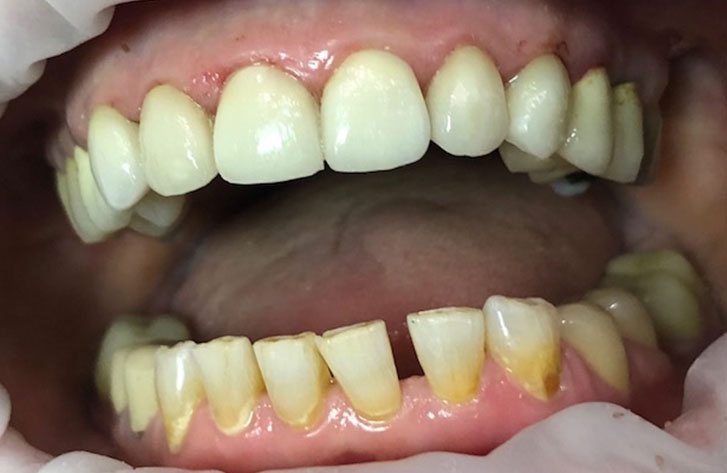
Step 3

Posizionamento delle faccette provvisiorie per far capire al paziente il risultato estetico finale della riabilitazione.

Step 4

Le faccette in ceramica vengono posizionate sull'arcata dentale superiore per essere successivamente fissate in modo definitivo.

Step 5

Nella foto è possibile osservare il caso di riabilitazione terminato in tutta l'arcata superiore.

Step 6

Oltre alla parte estetica, nella riabilitazione viene curata anche quella funzionale, come la masticazione e la corretta chiusura dentale.

Scrivici

La tua richiesta è stata inviata, risponderemo nel minor tempo possibile
Qualcosa è andato storto, ricontrolla i dati che hai inserito

Copyright © | D.ssa Erika Cristina | P.IVA: 02034750030 | Privacy Policy | Cookie Policy | Le tue preferenze relative alla privacy