Gattico - Massino
Implant
ologia

Prenota una visita gratuita nella struttura più vicino a te

Protesi removibile

Implantologia

Lo studio si avvale di diverse linee implantari: impianti monofasici a carico immediato, impianti bifasici sommersi, minimpianti per stabilizzare protesi rimovibili. Gli impianti hanno passaporto implantare che viene rilasciato al paziente, per poter risalire in ogni momento ai dati tecnici.

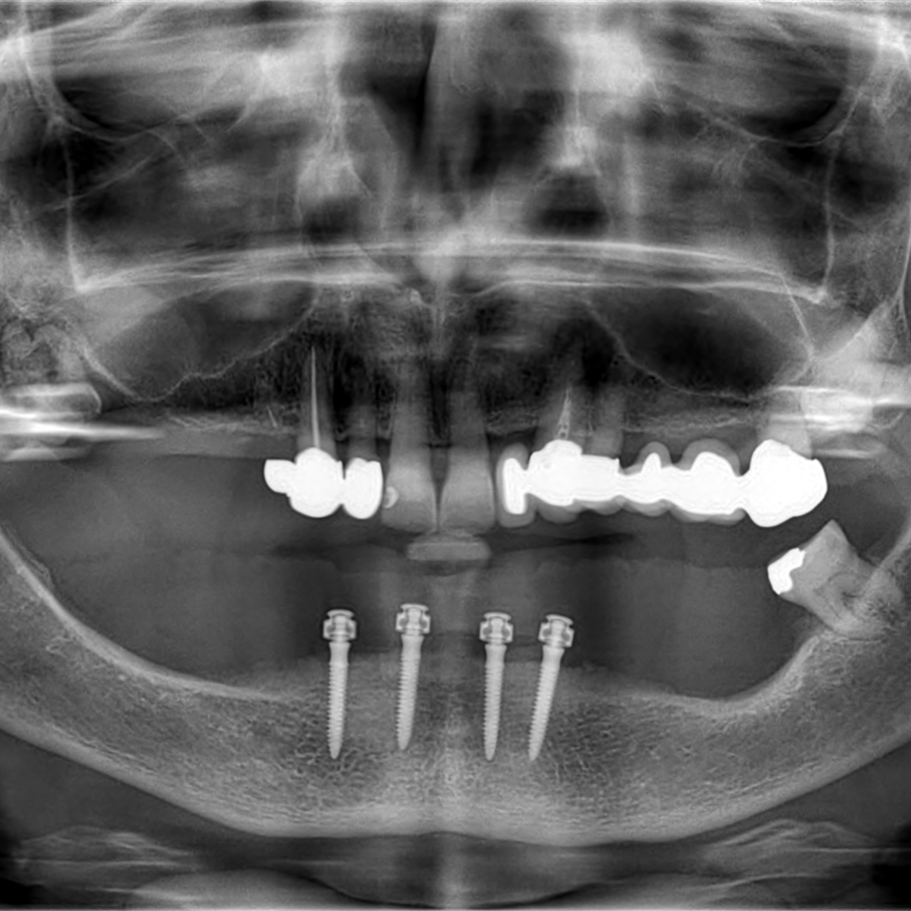
Caso di studio
Protesi avvitata per arcata inferiore: Metodo All On 4

Un paziente edentulo richiede dentatura fissa. La pianificazione del trattamento avviene con supporto di TAC CONE BEAN, la quale permette di progettare virtualmente l intero trattamento e di mostrare al paziente virtualmente la posizione implantare e protesica. Mediante la realizzazione di una mascherina chirurgina in un'unica seduta si esegue la chirurgia implantare; successivamente viene realizzata una protesi che viene avvitata direttamente nella bocca del paziende e rimane quindi fissa.

Arcata completa in Zirconio

Implantologia
Implantologia
Implantologia
Implantologia
Implantologia
Implantologia

Scrivici

La tua richiesta è stata inviata, risponderemo nel minor tempo possibile
Qualcosa è andato storto, ricontrolla i dati che hai inserito

Copyright © | D.ssa Erika Cristina | P.IVA: 02034750030 | Privacy Policy | Cookie Policy | Le tue preferenze relative alla privacy