Gattico - Massino
Orto
donzia

Prenota una visita gratuita nella struttura più vicino a te

Ortodonzia tradizionale e invisibile

L'ortodonzia viene eseguita partendo dall'esecuzione di un tracciato cefalometrico, che permette di ottenere un piano di cura affidabile da cui si può stabilire che tipo di apparecchiature utilizzare e la tempistica. Si utilizzato anche tecniche di pianificazione virtuale del caso ortodontico, come ad esempio per la realizzazione delle mascherine trasparenti per la metodica Invisalign.

Prima dopo

Esempio fotografico di pazienti prima e dopo.

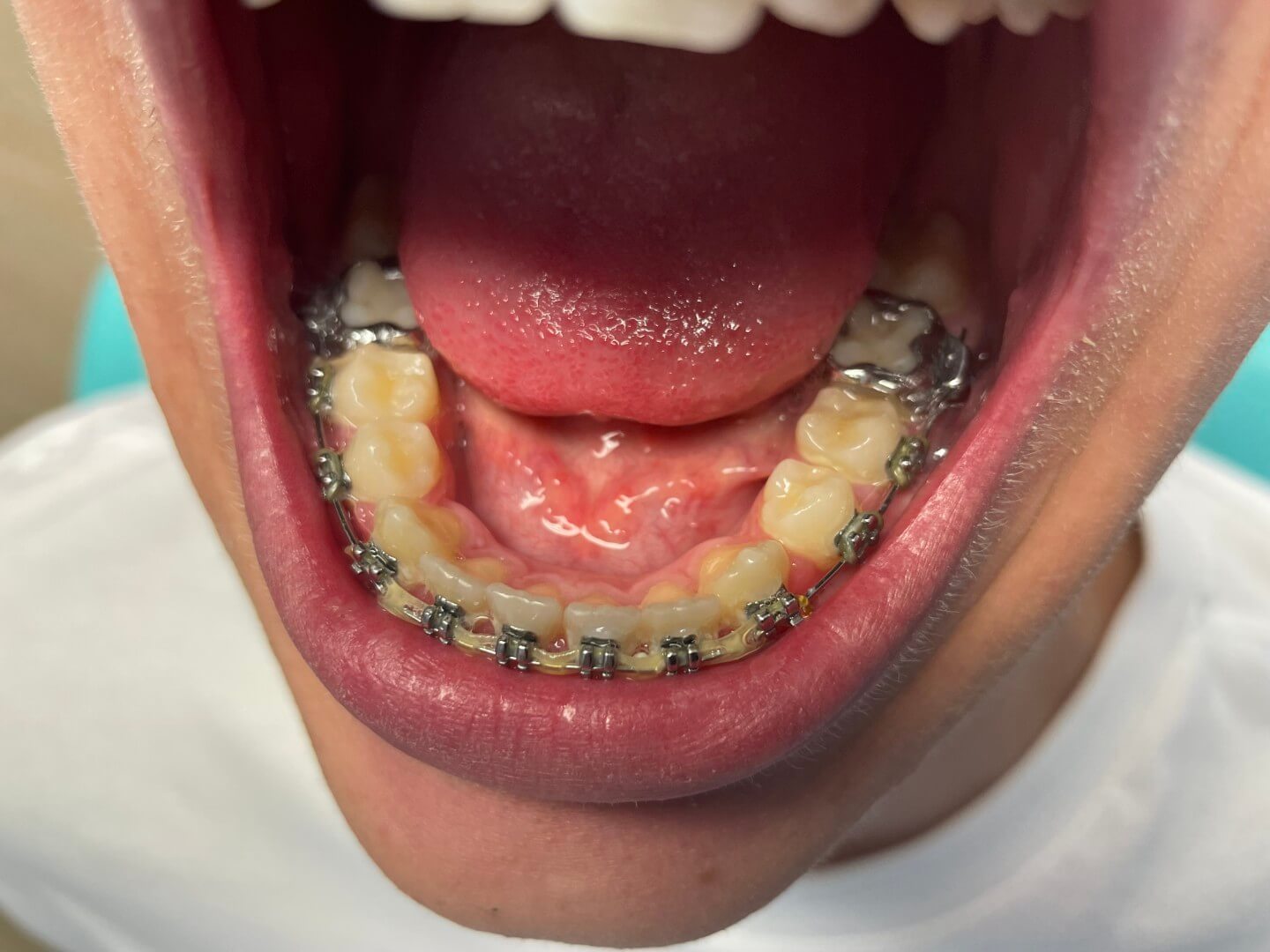
Caso con fisso inferiore e mascherine superiori

Caso con fisso inferiore e mascherine superiori
Caso con fisso inferiore e mascherine superiori
Caso con fisso inferiore e mascherine superiori

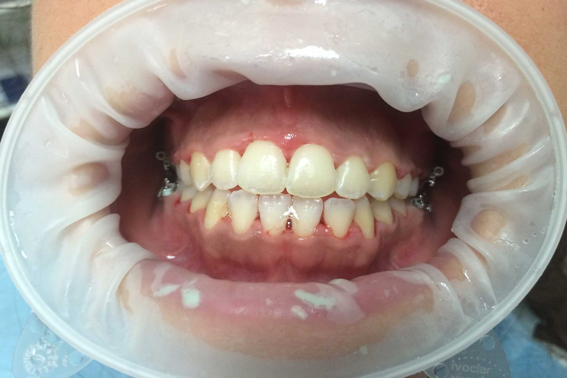
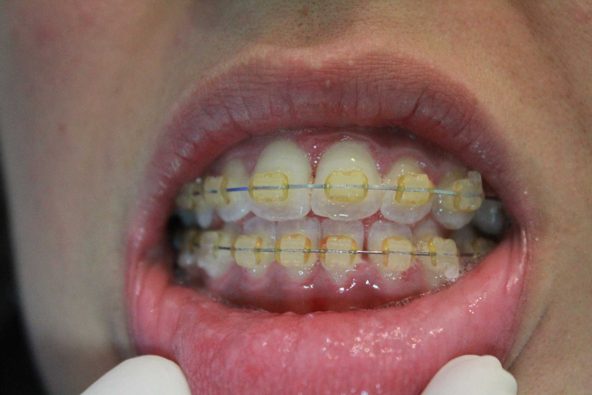
Ortodonzia fissa bimascellare con mascherine finali

Ortodonzia fissa bimascellare con mascherine finali
Ortodonzia fissa bimascellare con mascherine finali
Ortodonzia fissa bimascellare con mascherine finali
Ortodonzia fissa bimascellare con mascherine finali
Ortodonzia fissa bimascellare con mascherine finali
Ortodonzia fissa bimascellare con mascherine finali
Ortodonzia fissa bimascellare con mascherine finali
Ortodonzia fissa bimascellare con mascherine finali
Ortodonzia fissa bimascellare con mascherine finali
Ortodonzia fissa bimascellare con mascherine finali
Ortodonzia fissa bimascellare con mascherine finali
Ortodonzia fissa bimascellare con mascherine finali
Ortodonzia fissa bimascellare con mascherine finali
Ortodonzia fissa bimascellare con mascherine finali
Ortodonzia fissa bimascellare con mascherine finali
Ortodonzia fissa bimascellare con mascherine finali
Ortodonzia fissa bimascellare con mascherine finali
Ortodonzia fissa bimascellare con mascherine finali

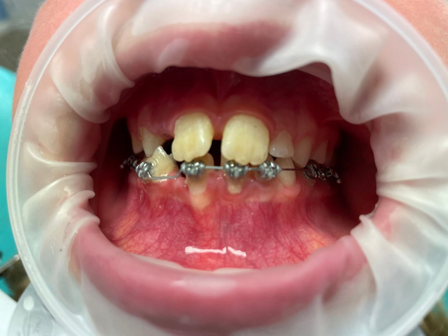
Raddrizzamento centrale inferiore bambina

Raddrizzamento centrale inferiore bambina
Raddrizzamento centrale inferiore bambina
Raddrizzamento centrale inferiore bambina
Raddrizzamento centrale inferiore bambina
Raddrizzamento centrale inferiore bambina
Raddrizzamento centrale inferiore bambina
Raddrizzamento centrale inferiore bambina
Raddrizzamento centrale inferiore bambina
Raddrizzamento centrale inferiore bambina
Raddrizzamento centrale inferiore bambina
Raddrizzamento centrale inferiore bambina
Raddrizzamento centrale inferiore bambina
Raddrizzamento centrale inferiore bambina
Raddrizzamento centrale inferiore bambina
Raddrizzamento centrale inferiore bambina
Raddrizzamento centrale inferiore bambina

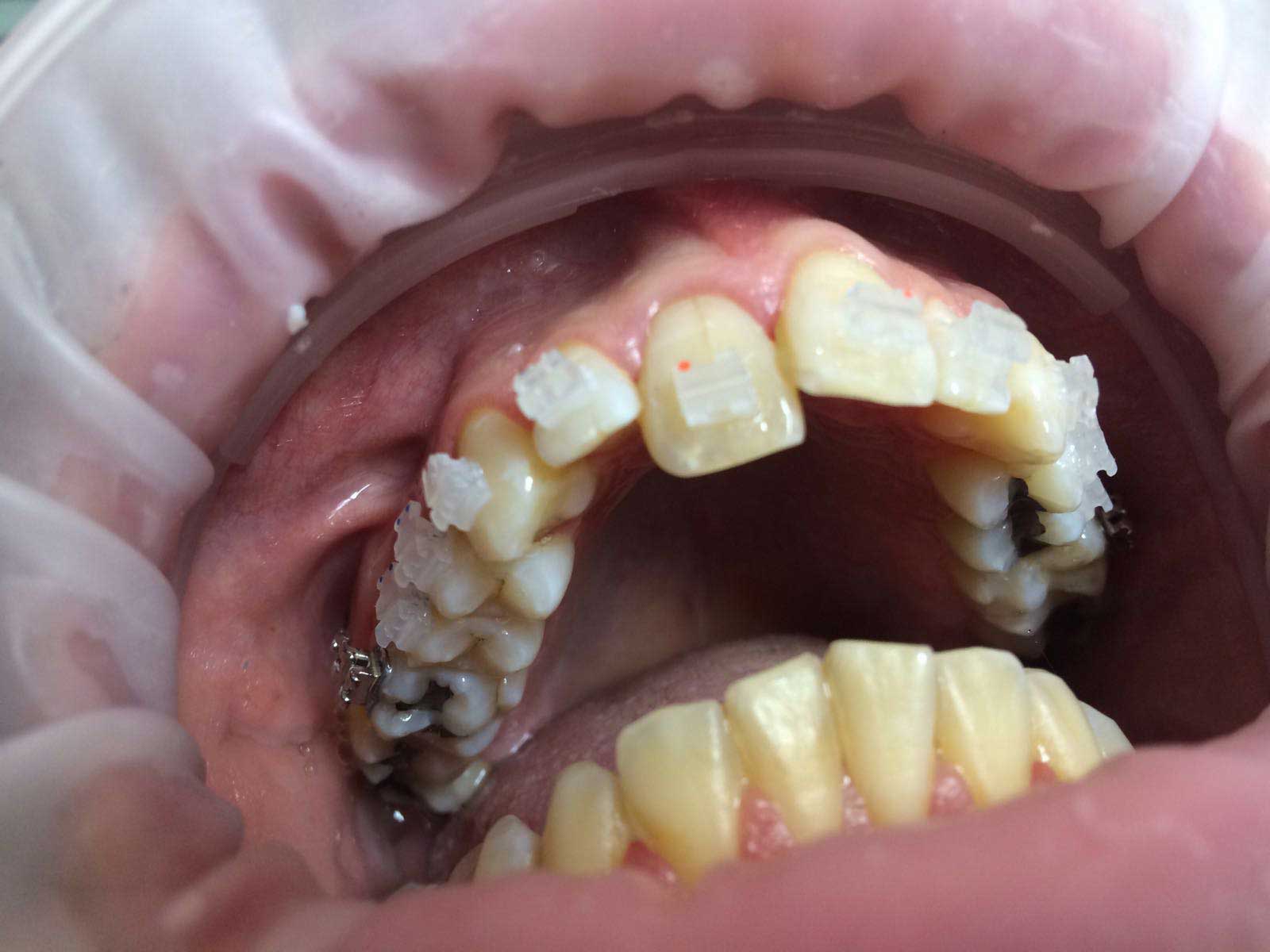
Ortodonzia fissa superiore con attacchi estetici

Ortodonzia fissa superiore con attacchi estetici
Ortodonzia fissa superiore con attacchi estetici

Canino incluso superiore, canino estruso

Canino incluso superiore, canino estruso
Canino incluso superiore, canino estruso

Ortodonzia

Ortodonzia
Ortodonzia
Ortodonzia
Ortodonzia
Ortodonzia
Ortodonzia
Ortodonzia
Ortodonzia
Ortodonzia

Scrivici

La tua richiesta è stata inviata, risponderemo nel minor tempo possibile
Qualcosa è andato storto, ricontrolla i dati che hai inserito

Copyright © | D.ssa Erika Cristina | P.IVA: 02034750030 | Privacy Policy | Cookie Policy | Le tue preferenze relative alla privacy