Gattico - Massino
Protesi fissa
e mobile

Prenota una visita gratuita nella struttura più vicino a te

Protesi removibile

Protesi fissa e mobile

Lo studio collabora con laboratori altamente specializzati e si utilizzano materiali certificati e di alta qualità. Nuovo materiale proposto è lo zirconio per la realizzazione di corone singole o ponti, con alta robustezza e perfetta resa estetica. Nell'ambito della protesi mobile nuovo materiale utilizzato è il nylon, per la realizzazione di protesi parziali , consente un'ottima estetica e comfort per il paziente.

Lavori effettuati

Per una panoramica di lavori effettuati su nostri pazienti, visita la gallery.

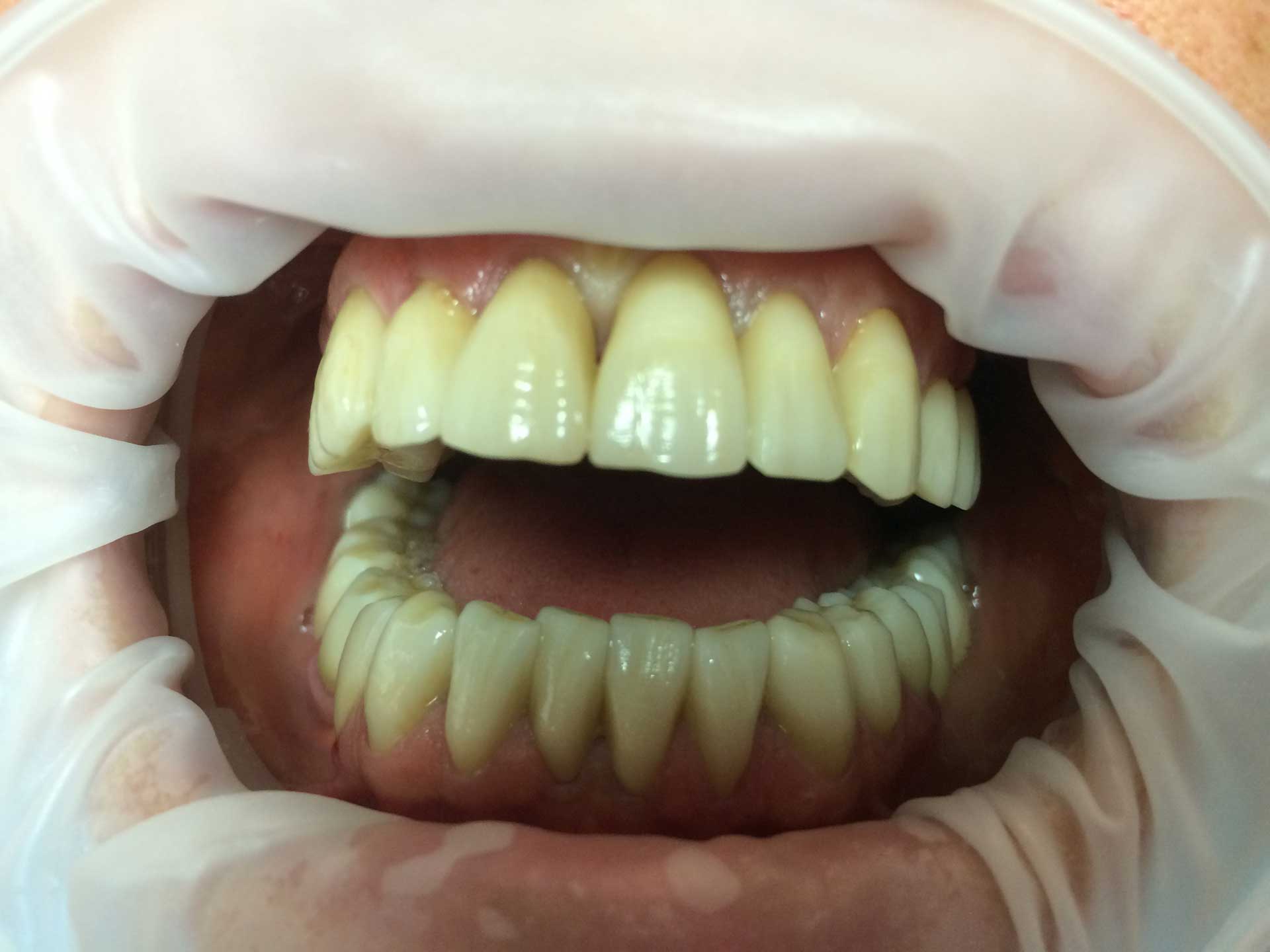
Arcata completa in Zirconio

Protesi completa in Zirconio
Protesi completa in Zirconio
Protesi completa in Zirconio

Arcata fissa superiore su impianti

Arcata fissa superiore su impianti
Arcata fissa superiore su impianti

Protesi removibile

Protesi removibile
Protesi removibile
Protesi removibile

Scrivici

La tua richiesta è stata inviata, risponderemo nel minor tempo possibile
Qualcosa è andato storto, ricontrolla i dati che hai inserito

Copyright © | D.ssa Erika Cristina | P.IVA: 02034750030 | Privacy Policy | Cookie Policy | Le tue preferenze relative alla privacy